CT로 직접 확인하는
코막힘 수술 결과
-
-
공지 만성 코막힘, 나만 그런 게 아니었네?
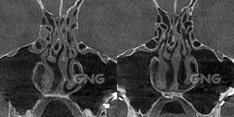
왼쪽 코의 코막힘 증상으로내원해주신 분입니다.코막힘 원인을 파악하기 위해 3D-CT를 촬영했는데요.아래 사진들을 보시면 비중격 만곡증 증상인휘어진 비중격의 모습을 육안으로 확인할 수 있습니다. 왼쪽에 뼈가 많이 튀어나와있고수술 후 해당 위치의 뼈가 제거되면서양쪽 비강, 특히 좁았던 왼쪽 부분이열린 모습을 볼 수 있습니다. <코막힘 원인> 수술 전, . . .
2025-01-31
-
-
-
-
공지 CT사진으로 리뷰하는 코막힘 수술!
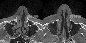
코막힘으로 내원하셨습니다. 코막힘 원인을 파악한 후비밸브 재건술, 비중격 재건술,하비갑개 절제술을함께 진행하신 분입니다. CT 사진을 보면 수술 전후의 변화를극명하게 확인하실 수 있는데요. 수술 전후 사진으로 비교했을 때,비강의 양쪽의 넓이가 비슷해지는 것이가장 이상적인 수술 결과입니다. <코막힘 원인> 수술 전 CT사진에서 뼈 부분이 왼쪽으로 치우쳐있고,왼쪽의 비강이 완전히 막혀있는데요. 위쪽 . . .
2025-01-21
-
-
-
-
심한 비중격만곡증으로 비밸브 협착까지 발생한 케이스
⭐ 비중격만곡증, 하비갑개비대증 환자분은 어렸을 때 코를 부딪혀서 그 이후로 코가 막히는 것 같다고내원하셨습니다.내원 후 내시경과 CT 사진을종합해서 보았을 때비중격이 오른쪽으로 많이 휘어있었습니다. 정상적인 상태라면 비중격은 코의 중앙에연골이 똑바로 서 있어야 합니다. 비중격이 바르게 위치하지 않고한 쪽으로 휘어있다면대부분 휜 쪽에 심한 코막힘을유발하는 경우가 많습니다.환자분의 경우 . . .
2026-01-05
-
-
-
-
코막힘의 원인은 휘어진 비중격 + 하비갑개 비대증
⭐ 비중격 교정술, 하비갑개 절제술 이번 환자분은코뼈가 부러져서 골절이 있었는데좌측 코막힘이 심해서 내원하셨습니다. CT 상에서도 비중격이 왼쪽으로휘어있는 것을 볼 수 있습니다. 공간이 좁으면 숨 쉬는 것이더 힘들기 때문에 비중격 교정술로공간을 확보해주었습니다. 휘어진 연골은 힘을 주면 펴지지만다시 원래대로 돌아가려는 성질이 있어단순히 휜 것을 누르는 것이 아니라똑바르게 . . .
2026-01-05
-
-
-
-
코막힘 수술 3종, 비중격 교정술+비밸브 교정술+하비갑개 소작술
⭐비밸브 협착, 비중격만곡증,하비갑개 비대 심한 오른쪽 코막힘 개선을 위해30대 남자 환자분께서 내원해주셨습니다. 오른쪽의 앞부분이 완전히 막혀서오른쪽으로는 숨을 쉴 수 없는 상태로왼쪽만 열려 있는 상태였는데요.전체적으로 비중격부터 후방의 뼈까지전부 다 오른쪽으로 휘어 있는 환자분이셨습니다. 코막힘의 원인은위쪽 비밸브가 오른쪽으로 휘어 있어발생한 비밸브 협착증과 비중격만곡증,하비갑개 비대증이었습니다. 따라서 비밸브 교정술, . . .
2025-12-17
-
-
-
-
비밸브가 완전히 협착되어서 심했던 왼쪽 코막힘
⭐ 비중격만곡증, 비밸브 협착 20대 남자 환자분의 코막힘 수술 케이스왼쪽 코막힘을 심하게 앓고 계셔서 내원하셨습니다.왼쪽 상방 부분에는 비밸브가 위치하고 있는데요.비중격과 왼쪽 측벽 사이의 공간이아예 없는 완전 협착 상태였습니다.비밸브 교정술을 통해가운데로 기둥을 옮겨 주어비밸브 쪽의 공간과 양쪽 비강이비슷해지게 맞춰주었습니다. 뒤쪽에서 본 CT에서도비중격 뼈가 . . .
2025-12-17
-
-
-
-
휜코와 코막힘을 바로잡으려면?
⭐비중격만곡증, 하비갑개 비대,비밸브 협착 20대 남자 환자분으로휜코와 심한 코막힘 개선을 위해 내원하셨습니다. 코막힘의 원인은 왼쪽 부분에서위쪽부터 아래쪽까지 쭉 걸쳐서다 휘어 있었기 때문에왼쪽 비강이 오른쪽 비강보다더 좁아져 있었습니다. 오른쪽은 비대해진 하비갑개가막고 있는 상태였는데요. 기둥의 위치를 위쪽부터 아래쪽까지모두 가운데에 위치하게 함으로써양쪽 비강 넓이를 비슷하게 맞춰주었습니다. 수술 전 CT를 . . .
2025-12-17
-
-
-
-
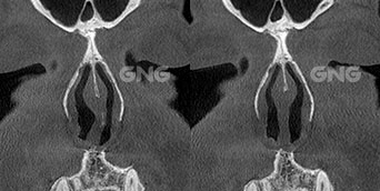
비중격 연골이 완벽하게 90도로 꺾여서 생긴 코막힘 수술
⭐ 비중격 만곡증, 하비갑개 비대,비밸브 협착 40대 남자 환자분으로코막힘 개선을 위해 내원하셨습니다. 내원해서 촬영한 CT를 보면아래쪽의 연골이 거의 90도 이상으로꺾여 있는 것을 확인할 수 있습니다. 수술시에는 이 연골을가운데로 다시 똑바로 세워주는 것이가장 중요합니다. 뒷 부분에서 보면 뼈가 한쪽으로휘어 있는 것이 더 잘 보이는데요. 오른쪽으로 뼈가 . . .
2025-12-17
-
-
-
-
코막힘과 편두통의 관계? 비중격수술로 두통도 해결!
⭐편두통, 비중격만곡증,하비갑개 비대, 비밸브 협착 20대 남성분께서 심한 오른쪽 코막힘개선을 위해 내원하셨습니다. 내원해서 촬영한 CT와 내시경 검진 후코막힘 원인을 비중격만곡증,하비갑개 비대, 비밸브 협착으로확인하였습니다. 완전 협착으로 특히 뼈가오른쪽으로 완전히 튀어나와 있었는데요. 뼈가 콕 찌르는 경우에는편두통이 심해지는 경향이 있습니다. 환자분께서도 비슷한 유형으로편두통과 코막힘을 유발할 수 있는뒤쪽 뼈를 제거해 . . .
2025-12-17
-
-
-
-
왼쪽 코가 많이 막히고, 코피도 자주나요 ㅠㅠ
⭐잦은 코피, 코막힘 이번 환자분은 왼쪽의 코막힘과잦은 코피로 내원하셨습니다. 안쪽의 코막힘에 더해겉에서도 휘어 보이는 것을교정하고자 하셨는데요. 위쪽 부분이 많이 휘어 있어서왼쪽 벽에 완전히 닿아 있는 상태였습니다.이비인후과에서는 이를상부 비중격 만곡증이라고 합니다.이런 부분이 수술로해결하기 어렵기도 하지만 제대로 해결하기 위해서아래쪽 기둥의 위치를 가운데로 바로 잡고휘어 있던 뼈를 . . .
2025-12-17
-
-